Unique Technologies That Provide Color Stability, Wide Blending & Simplified Techniques
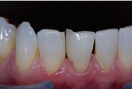
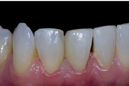
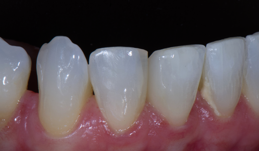
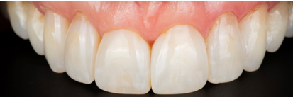
With the growing popularity of anterior injection molded restorations, it is important to have composites that provide stabile properties and excellent long-term clinical results. The ideal materials should inject easily, provide excellent blending, maintain their polish and color stability. The CLEARFIL MAJESTY™ line of composites have unique technologies that provide these stabile properties and excellent clinical results.
LD Technology: Excellent Blending
Light-Diffusion Technology is a unique cluster of fillers that replicates how dentin diffuses light. The LD filler clusters provide natural and wide blending with natural tooth structure. This technology makes it possible to get very close to natural dentin and enamel light effects.
Light passes through the unfilled portion of the resin of the MAJESTY composites replicating enamel. The light is then diffused by the LD filler clusters to replicate dentin. The result is excellent blended margins.





LCSi: High Polish Retention & Excellent Color Stability:
From independent research sources, the CLEARFIL MAJESTY™ composites have been shown to have high polish retention and excellent color stability1,2,3,4. These important properties may be attributed with Kuraray Noritake’s unique fillers and silane coating technology. It has been noted, in research, that this unique coating binds extremely well with the resin portion of the composite and provides very durable and stabile properties like low water sorption which results in excellent color stability and good polish retention1.
LCSi is used to treat all inorganic fillers in all CLEARFIL MAJESTY™ composites. It is also a key ingredient in the PANAVIA™ SA Cement Universal and provides durable bond to glass-based ceramics.
Clinical Comparison:


“CLEARFIL MAJESTY™ ES Flow showed the lowest means at every interval of measurement”
