with CLEARFIL MAJESTY™ Flow and CLEARFIL MAJESTY™ ES-2 Universal
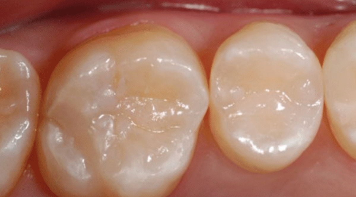
Small to moderate-sized posterior restorations are the bread-and-butter of every dental practice. In a procedure that is carried out so frequently, it is particularly useful to work with a restorative material that handles well and has excellent optical properties that blend in a variety of clinical situations – like CLEARFIL MAJESTY™ ES-2 Universal. The product is available in a single universal shade for the posterior region, which enables users to increase their efficiency and eliminates the need for shade determination or laborious multi-shade layering.
When used with CLEARFIL™ SE Protect adhesive and CLEARFIL MAJESTY™ ES Flow, the innovative universal restorative allows me to confidently restore 70 to 80 percent of my simple posterior composite restorations. It handles extremely well, being slightly soft but not sticky, which allows quick shaping and anatomy formation. The procedure is fast and simple, and it leads to natural outcomes, as shown using the following case example. Anyone who has tested CLEARFIL MAJESTY™ ES-2 Universal in the clinical environment will most likely agree that the material is an easy-to-use workhorse every dentist should have in their composite toolbox.
|
|
|
|